+918048030932
Currently it only shows your basic business info. Start adding relevant business details such as description, images and products or services to gain your customers attention by using Boost 360 android app / iOS App / web portal.

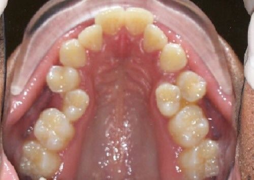
Dentist in porur Kids Dentist in porur cosmetic dentistry in porur If milk (primary) teeth are removed too early, it can lead to several issues with dental and jaw development, as these teeth play a key role in guiding the alignment of permanent teeth and supporting normal jaw growth. Here are some potential effects: 1. Misalignment of Permanent Teeth: Milk teeth act as placeholders for the adult teeth that will eventually replace them. If they are removed early, neighboring teeth may drift into the open space, potentially leading to crowding or improper alignment when the permanent teeth come in. 2. Delayed Eruption of Permanent Teeth: Sometimes, early removal of milk teeth can cause a delay in the eruption of permanent teeth. This happens because the teeth are no longer being naturally guided into place by the baby teeth. 3. Speech and Chewing Problems: Milk teeth aid in speech development and proper chewing. If they’re missing, it might affect a child's ability to chew or pronounce certain sounds. 4. Jaw Development Issues: Early loss of milk teeth can affect the development of the jaw, potentially leading to bite issues or the need for orthodontic treatments later. To prevent complications, dentists sometimes recommend using space maintainers to keep the area open for the permanent tooth if milk teeth need to be removed due to decay or damage. #cosmeticdentistporur##rootcanaltreatmentinporur##dermatologistinporur##Urologistunporur##generalphysicianinporur##Neurologistinporur##Gynaecologistinporur##